Vein Occlusion Eye
Vein Occlusion Eye: Everything You Need to Know About Blocked Vision
Receiving a diagnosis related to your vision can be frightening, especially when the words sound complicated, like "Vein Occlusion Eye." If you or someone you care about is dealing with this condition, you probably have countless questions about what it is, why it happened, and how it can be treated.
We want to walk you through this process. This guide is designed to be your friendly, informative resource, explaining complex medical jargon in plain language so you can feel empowered and informed about your eye health journey.
Understanding a Vein Occlusion in the Eye is the first step toward effective management and recovery.
Understanding Vein Occlusion Eye: What Exactly Is Happening?
When we talk about a Vein Occlusion Eye, we are referring to a blockage in one of the small veins that carry blood away from the retina. The retina is the light-sensitive tissue at the back of your eye, much like the film in a camera. It needs a constant, healthy blood supply to function properly.
Think of your eye's circulatory system like a network of roads. Arteries bring fresh, oxygenated blood (inbound traffic), and veins take the 'used' blood away (outbound traffic). When one of these outbound veins gets clogged, a traffic jam occurs.
This blockage causes blood and fluids to leak into the retina. This leakage leads to swelling (edema) and pressure, which in turn damages the sensitive nerve cells responsible for sight. This damage results in vision loss, which can range from mild blurring to severe, sudden loss of sight.
Central vs. Branch Retinal Vein Occlusion (CRVO and BRVO)
Vein occlusions are generally classified based on where the blockage occurs. Knowing the difference helps your eye doctor determine the necessary treatment plan.
- Central Retinal Vein Occlusion (CRVO): This is the more severe type. The main vein draining the entire retina is blocked. Because the occlusion affects the entire blood flow, CRVO typically causes more widespread and profound vision loss.
- Branch Retinal Vein Occlusion (BRVO): This occurs when only a smaller branch vein is blocked. The resulting damage is localized to a specific area of the retina. This often leads to partial vision loss or blind spots, and the overall prognosis is generally better than CRVO.
Why Does a Vein Occlusion Eye Happen? Risk Factors You Should Know
A Vein Occlusion Eye is rarely a random event. Instead, it is highly associated with systemic health issues that affect the integrity of your blood vessels throughout the body. The most common underlying causes involve hardening and narrowing of the arteries, which can then compress the adjacent, softer veins.
Most patients who experience a retinal vein occlusion are over the age of 50, but it can occur earlier, particularly if serious underlying health conditions are present. Taking control of these underlying conditions is crucial for prevention and managing recovery.
- High Blood Pressure (Hypertension): This is the single most common risk factor. High pressure damages the arterial walls, which then press against and compress the retinal veins, leading to a blockage.
- Diabetes: Uncontrolled blood sugar damages blood vessels throughout the body, including those in the retina, making them prone to clotting and inflammation.
- Glaucoma: Elevated pressure inside the eye can physically squeeze the central retinal vein, increasing the risk of occlusion.
- High Cholesterol: Elevated fat levels can contribute to hardening and narrowing of the arteries (atherosclerosis), which exacerbates the compression risk.
- Blood Clotting Disorders: In some cases, usually in younger patients, underlying issues that make the blood thicker or more prone to clotting may be the culprit.
Spotting the Signs: Symptoms of Vein Occlusion Eye
The hallmark symptom of a Vein Occlusion Eye is a painless change in vision. Crucially, unlike some other eye emergencies, this condition typically does not cause acute pain, which can sometimes lead people to delay seeking care.
Symptoms usually develop rapidly, often noticed immediately upon waking up. If you experience any sudden changes in your sight, contact an eye specialist immediately.
The specific symptoms vary depending on whether you have a CRVO or BRVO, and whether the macula (the central part of the retina responsible for sharp vision) is affected.
- Sudden blurring or haziness of vision in one eye.
- New blind spots or "smudges" in your central or peripheral vision.
- Worsening of vision over hours or days.
- Floaters (spots or lines that drift across your field of vision), caused by bleeding into the vitreous humor.
The Importance of Immediate Diagnosis
If you suspect a Vein Occlusion Eye, timely intervention is key to preserving as much sight as possible. Your ophthalmologist will perform several tests to confirm the diagnosis and assess the extent of the damage.
Fundus Examination
The doctor will dilate your pupils and look at the back of your eye. A vein occlusion is clearly visible as retinal hemorrhages (bleeding) and swollen blood vessels.
Optical Coherence Tomography (OCT)
This scanning technology provides high-resolution images of the retina, allowing the doctor to measure the exact amount of swelling (macular edema). OCT is critical for monitoring treatment progress.
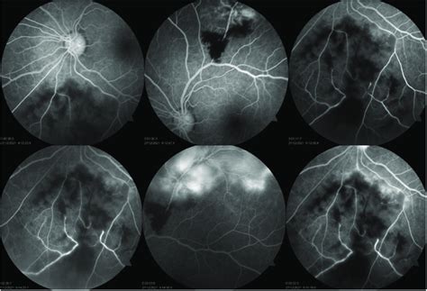
Fluorescein Angiography
A dye is injected into your vein, and pictures are taken as the dye flows through the retinal blood vessels. This test highlights areas where veins are blocked or leaking, and identifies regions of the retina that are not receiving enough oxygen (ischemia).
Managing and Treating Vein Occlusion Eye
While the blockage itself often cannot be immediately cleared, the goal of treatment for Vein Occlusion Eye is to control the damaging consequences of the occlusion, primarily the macular edema (swelling) and the growth of abnormal new blood vessels (neovascularization).
Treatment usually involves long-term, ongoing management. It requires consistency and close monitoring by a retinal specialist.
Common Treatment Methods
Most modern treatments focus on injections directly into the eye. While this sounds intimidating, these procedures are quick, generally painless (thanks to numbing drops), and highly effective in reducing fluid and saving sight.
Anti-VEGF Injections
Vascular Endothelial Growth Factor (VEGF) is a protein that the damaged retina releases when it is stressed. VEGF causes blood vessels to leak fluid, leading to edema, and it also encourages the growth of fragile, abnormal blood vessels. Anti-VEGF medications block this protein.
These injections are often the first line of treatment for macular edema resulting from Vein Occlusion Eye. Treatments are typically given monthly until the swelling subsides and vision stabilizes.
Steroid Injections/Implants
Steroid medications (corticosteroids) are powerful anti-inflammatory agents that help reduce swelling in the retina. Sometimes these are injected as a liquid, or they may be delivered via a tiny, slow-releasing implant that lasts several months.
While effective, steroids carry a risk of side effects like increased intraocular pressure (glaucoma) and cataract formation, so they are used judiciously.
Laser Treatment (PRP)
In cases where the eye is severely lacking oxygen (ischemic), abnormal new vessels can grow, leading to painful glaucoma or further bleeding. Pan-retinal photocoagulation (PRP) uses a laser to destroy the non-essential, oxygen-starved peripheral retina.
While this procedure can slightly reduce peripheral vision, it sacrifices the non-functional retina to save the central vision and prevent catastrophic complications.
Living Well After a Vein Occlusion Eye Diagnosis
Managing the systemic conditions that caused the vein occlusion is just as important as the eye treatments themselves. If you have been diagnosed with a Vein Occlusion Eye, your eye care team will likely work closely with your primary care doctor or cardiologist.
Here are key lifestyle adjustments to support your eye health:
- Strict Blood Pressure Control: Maintain blood pressure within the target range set by your doctor. This is essential to prevent future occlusions in the affected eye or the second eye.
- Diabetes Management: Keep blood sugar levels stable through diet, exercise, and medication compliance.
- Healthy Diet: Adopt a diet low in saturated fats and sodium to support vascular health.
- Avoid Smoking: Smoking severely constricts blood vessels and is a significant risk factor for vascular occlusions. Quitting is mandatory for recovery and prevention.
Conclusion
A Vein Occlusion Eye is a serious medical event requiring prompt and ongoing care. It occurs when a blood vessel draining the retina is blocked, leading to swelling and potential vision loss. While the diagnosis can be challenging, modern treatments like anti-VEGF injections and steroid implants offer excellent ways to control the symptoms and preserve vision.
Remember that managing your overall health—especially blood pressure and diabetes—is the best way to prevent the recurrence of a Vein Occlusion in the Eye and ensure the best possible long-term outcome. Always maintain open communication with your retinal specialist and commit to your prescribed treatment schedule.
Frequently Asked Questions About Vein Occlusion Eye
- Can vision lost from a Vein Occlusion Eye be recovered?
- Recovery varies widely. For mild cases (especially BRVO), some vision may return naturally. However, significant recovery usually depends on prompt treatment to reduce macular edema. Treatment aims to prevent further loss and maximize the vision that remains.
- Is a retinal vein occlusion painful?
- No, the occlusion itself is typically painless. Pain may only occur later if severe complications develop, such as neovascular glaucoma (a rare consequence of prolonged ischemia), which is why regular monitoring is crucial.
- How long does treatment for Vein Occlusion Eye last?
- Treatment for macular edema is often long-term, lasting months or even years. Initially, injections might be monthly, but as the condition stabilizes, the interval between treatments can often be extended based on the patient's stability as measured by OCT scans.
- Can I get a Vein Occlusion in my other eye?
- Yes, unfortunately. If the underlying systemic risk factors (like uncontrolled hypertension) are not managed effectively, there is an increased risk of a vein occlusion occurring in the previously unaffected eye. Controlling these systemic diseases is paramount.
Vein Occlusion Eye
Vein Occlusion Eye Wallpapers
Collection of vein occlusion eye wallpapers for your desktop and mobile devices.

Captivating Vein Occlusion Eye Scene for Your Screen
A captivating vein occlusion eye scene that brings tranquility and beauty to any device.

Crisp Vein Occlusion Eye Capture Nature
A captivating vein occlusion eye scene that brings tranquility and beauty to any device.

Exquisite Vein Occlusion Eye Design Concept
A captivating vein occlusion eye scene that brings tranquility and beauty to any device.

Breathtaking Vein Occlusion Eye Photo Concept
Experience the crisp clarity of this stunning vein occlusion eye image, available in high resolution for all your screens.

Mesmerizing Vein Occlusion Eye Artwork Nature
Discover an amazing vein occlusion eye background image, ideal for personalizing your devices with vibrant colors and intricate designs.

Serene Vein Occlusion Eye View Photography
Discover an amazing vein occlusion eye background image, ideal for personalizing your devices with vibrant colors and intricate designs.

Beautiful Vein Occlusion Eye Image for Your Screen
Explore this high-quality vein occlusion eye image, perfect for enhancing your desktop or mobile wallpaper.
High-Quality Vein Occlusion Eye Abstract Photography
Transform your screen with this vivid vein occlusion eye artwork, a true masterpiece of digital design.

Gorgeous Vein Occlusion Eye Capture Nature
Find inspiration with this unique vein occlusion eye illustration, crafted to provide a fresh look for your background.

Dynamic Vein Occlusion Eye Abstract for Mobile
Immerse yourself in the stunning details of this beautiful vein occlusion eye wallpaper, designed for a captivating visual experience.
Stunning Vein Occlusion Eye Scene Art
Immerse yourself in the stunning details of this beautiful vein occlusion eye wallpaper, designed for a captivating visual experience.

Exquisite Vein Occlusion Eye Artwork Digital Art
This gorgeous vein occlusion eye photo offers a breathtaking view, making it a perfect choice for your next wallpaper.

Detailed Vein Occlusion Eye Moment Collection
Transform your screen with this vivid vein occlusion eye artwork, a true masterpiece of digital design.

Captivating Vein Occlusion Eye Moment for Desktop
This gorgeous vein occlusion eye photo offers a breathtaking view, making it a perfect choice for your next wallpaper.

Lush Vein Occlusion Eye Capture Nature
Immerse yourself in the stunning details of this beautiful vein occlusion eye wallpaper, designed for a captivating visual experience.

Spectacular Vein Occlusion Eye Wallpaper Concept
This gorgeous vein occlusion eye photo offers a breathtaking view, making it a perfect choice for your next wallpaper.
Vivid Vein Occlusion Eye Landscape for Desktop
Experience the crisp clarity of this stunning vein occlusion eye image, available in high resolution for all your screens.

0 Response to "Vein Occlusion Eye"
Post a Comment