Brain Tumor Eye Twitch
Brain Tumor Eye Twitch: Should You Be Worried About That Annoying Flicker?
If you're reading this, chances are you've experienced that frustrating little flutter in your eyelid—an eye twitch. It's annoying, sometimes persistent, and often leads us straight to Google, typing in the scariest combination of words we can imagine, like "Brain Tumor Eye Twitch."
Let's take a deep breath. For the overwhelming majority of people, eye twitching (medically known as myokymia) is harmless and temporary. It's usually your body signaling that you need a bit more rest or less caffeine.
However, because this specific symptom can cause anxiety, it's important to understand the rare circumstances where an eye twitch might be linked to a serious underlying condition. Our goal here is to provide clear, calm, and accurate information, helping you differentiate between a benign flicker and a potential warning sign related to a *Brain Tumor Eye Twitch*.
Understanding the Common Causes of Eye Twitching
Before we explore the serious concerns, it is crucial to recognize that nearly everyone experiences eye twitching at some point. These twitches are involuntary spasms of the eyelid muscles and are almost always linked to lifestyle factors.
If your twitching started recently and isn't accompanied by other severe symptoms, it's highly probable that one of these common culprits is to blame:
- Stress: High stress levels are a massive trigger. When your body is under tension, muscles—including those in your eyelid—can become easily agitated.
- Fatigue and Lack of Sleep: Tiredness is perhaps the number one cause. When you're running on fumes, your nervous system can become hypersensitive, leading to spasms.
- Caffeine and Alcohol: Both of these substances are stimulants and can overexcite the nerves controlling your eye muscles. Too much coffee or too many evening drinks can definitely lead to a jumpy eyelid.
- Eye Strain: Spending too much time looking at screens (computer, phone, tablet) causes eye fatigue, which can result in twitches.
- Nutritional Deficiencies: Sometimes, a lack of certain minerals, like magnesium, can contribute to muscle spasms across the body, including the eye.
Most simple eye twitches resolve on their own within a few hours or days once you address the underlying lifestyle factor.
When Does Eye Twitching Relate to a Brain Tumor?
Now, let's address the link to brain tumors. The connection is exceedingly rare, but it is neurologically possible. When an eye twitch is linked to a serious neurological issue, it is typically not the benign, fleeting myokymia we just discussed.
Instead, a brain tumor or other mass (like an aneurysm or cyst) can cause involuntary muscle movements by pressing directly on a specific cranial nerve. The nerve responsible for controlling most facial movement, including the muscles around the eye, is the Facial Nerve (Cranial Nerve VII).
If a mass grows near the brainstem, it can irritate or compress CN VII, causing prolonged and severe facial spasms. This condition is often referred to as a hemifacial spasm rather than a simple twitch.
The Types of Twitches and Facial Spasms
It's vital to distinguish between a common twitch and a potentially serious spasm. They differ significantly in duration, intensity, and scope.
- Benign Myokymia (Common Twitch): This is minor, sporadic, affects only a tiny segment of the eyelid (usually the lower one), and is painless. It comes and goes quickly.
- Blepharospasm: This involves forceful, repeated, and uncontrollable blinking or closure of both eyelids. It is usually related to movement disorders, not tumors, but is more severe than a simple twitch.
- Hemifacial Spasm (HFS): This is the type of involuntary movement most closely associated with pressure on the facial nerve. It usually starts with an occasional twitch around the eye, but over time, it progresses to involve the entire side of the face, pulling the mouth and cheek. It is persistent, involuntary, and affects one whole side of the face.
If your concern is truly a "Brain Tumor Eye Twitch," the symptom you are experiencing is more likely to be a progressive hemifacial spasm that worsens over time.
How Tumor Location Affects Symptoms
For a brain tumor to cause facial or eye twitching, it must be located in a very specific, sensitive area near the brainstem, where the cranial nerves originate.
The most common area involved is the Cerebellopontine Angle (CPA). Tumors in this area, such as acoustic neuromas (vestibular schwannomas) or meningiomas, can grow large enough to compress the facial nerve as it exits the brainstem.
If a tumor is causing facial irritation, it is usually found in the posterior fossa. This location doesn't just impact CN VII; it often causes multiple neurological symptoms simultaneously.
Other Warning Signs Beyond a Simple Eye Twitch
If a brain tumor is present, the symptom of facial nerve irritation—whether an eye twitch or a full hemifacial spasm—is virtually never an isolated symptom. The compression caused by a mass will almost certainly cause other, more dramatic neurological deficits.
If you are concerned about a serious condition, watch for these accompanying red flags:
- Persistent, Severe Headaches: Headaches that are new, worsening, and often most severe in the morning, sometimes accompanied by nausea or vomiting.
- Vision Changes: Including double vision, blurring, or loss of peripheral vision (often called "visual field cuts").
- Balance and Coordination Problems: Difficulty walking, clumsiness, dizziness, or vertigo, especially if the tumor is near the cerebellum or brainstem.
- Hearing Loss or Tinnitus: Sudden or progressive hearing loss in one ear, often accompanied by ringing (tinnitus). Since the hearing and balance nerves (CN VIII) are right next to the facial nerve (CN VII), they are frequently affected together.
- Facial Weakness or Drooping: Unlike a spasm, facial weakness means you can't voluntarily move that side of your face (e.g., struggling to smile or close the eye fully).
If you experience an eye twitch combined with several of these symptoms, immediate medical consultation is absolutely necessary.
Seeking Professional Advice for Eye Twitches and Brain Tumor Concerns
If your eye twitch is mild, brief, and goes away when you sleep more or cut back on caffeine, you likely have nothing to worry about. But what if it persists for weeks, gets stronger, or starts involving more of your face?
If the twitching evolves into a persistent hemifacial spasm or is accompanied by any of the severe neurological symptoms mentioned above, it is time to schedule an appointment.
Who should you see first?
Start with your primary care physician. They can perform a basic neurological examination. If they find signs of nerve involvement or other concerning symptoms, they will refer you to a specialist.
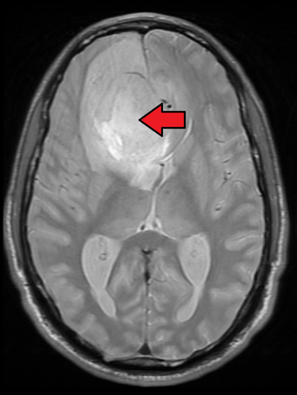
A specialist, usually a Neurologist, can properly diagnose the cause. Diagnosis often involves a detailed physical exam focusing on cranial nerve function and potentially imaging tests like an MRI to rule out structural issues, which would identify if a *Brain Tumor Eye Twitch* is truly the issue.
Remember, the goal is always peace of mind. Getting checked out is the best way to determine if simple lifestyle changes are needed, or if a more complex diagnosis requires treatment.
Conclusion
While the anxiety surrounding a potential "Brain Tumor Eye Twitch" is understandable, the vast majority of eye flickers are benign responses to stress, fatigue, or excessive caffeine. True eye spasms related to brain tumors are rare, tend to be severe (hemifacial spasms), and are almost always accompanied by significant, undeniable neurological symptoms like persistent headaches, balance issues, or unilateral hearing loss.
If your twitch is mild and short-lived, focus on managing your stress and improving your sleep hygiene. If the twitch is persistent, affects your whole face, or occurs alongside other red flag symptoms, do not hesitate to consult a neurologist for a thorough evaluation and proper diagnosis.
Frequently Asked Questions (FAQ)
- Is a subtle eye twitch ever the first symptom of a brain tumor?
- It is extremely rare. While a subtle twitch could be the very first sign of pressure on the facial nerve, it is almost immediately followed or accompanied by other neurological symptoms, especially hearing problems or balance issues, if the tumor is located near the brainstem.
- How long is too long for an eye twitch to last?
- Most benign eye twitches last a few seconds, minutes, or occasionally recur over a day or two. If a twitch persists continuously for several weeks, or if it increases in intensity and starts affecting the muscles outside the eyelid, it warrants a doctor's visit to rule out underlying issues like hemifacial spasm.
- What is the difference between an eye twitch and a hemifacial spasm?
- A common eye twitch (myokymia) is minor, quick, and only affects a small part of the eyelid. A hemifacial spasm (HFS) is persistent, involuntary, involves forceful contractions, and typically affects the entire half of the face, starting around the eye and spreading down to the cheek and mouth.
- Can anxiety cause severe facial spasms that mimic tumor symptoms?
- Anxiety and severe stress can certainly worsen muscle spasms, including benign eye twitches and blepharospasms. However, anxiety usually does not cause the specific pattern or severity of a true hemifacial spasm caused by structural nerve compression.
Brain Tumor Eye Twitch
Brain Tumor Eye Twitch Wallpapers
Collection of brain tumor eye twitch wallpapers for your desktop and mobile devices.

Gorgeous Brain Tumor Eye Twitch Scene Digital Art
Immerse yourself in the stunning details of this beautiful brain tumor eye twitch wallpaper, designed for a captivating visual experience.

Mesmerizing Brain Tumor Eye Twitch Artwork Illustration
Transform your screen with this vivid brain tumor eye twitch artwork, a true masterpiece of digital design.

Dynamic Brain Tumor Eye Twitch Capture in 4K
This gorgeous brain tumor eye twitch photo offers a breathtaking view, making it a perfect choice for your next wallpaper.

Spectacular Brain Tumor Eye Twitch Scene in HD
A captivating brain tumor eye twitch scene that brings tranquility and beauty to any device.

Mesmerizing Brain Tumor Eye Twitch Moment Illustration
Experience the crisp clarity of this stunning brain tumor eye twitch image, available in high resolution for all your screens.

Crisp Brain Tumor Eye Twitch Artwork in HD
Find inspiration with this unique brain tumor eye twitch illustration, crafted to provide a fresh look for your background.

Dynamic Brain Tumor Eye Twitch Design for Your Screen
This gorgeous brain tumor eye twitch photo offers a breathtaking view, making it a perfect choice for your next wallpaper.

Crisp Brain Tumor Eye Twitch Artwork Collection
A captivating brain tumor eye twitch scene that brings tranquility and beauty to any device.

Captivating Brain Tumor Eye Twitch Artwork for Mobile
A captivating brain tumor eye twitch scene that brings tranquility and beauty to any device.

Captivating Brain Tumor Eye Twitch View Art
Immerse yourself in the stunning details of this beautiful brain tumor eye twitch wallpaper, designed for a captivating visual experience.

Beautiful Brain Tumor Eye Twitch Photo Digital Art
Experience the crisp clarity of this stunning brain tumor eye twitch image, available in high resolution for all your screens.

Vivid Brain Tumor Eye Twitch Landscape Concept
Experience the crisp clarity of this stunning brain tumor eye twitch image, available in high resolution for all your screens.
Spectacular Brain Tumor Eye Twitch Capture Nature
Immerse yourself in the stunning details of this beautiful brain tumor eye twitch wallpaper, designed for a captivating visual experience.

Captivating Brain Tumor Eye Twitch Artwork Concept
This gorgeous brain tumor eye twitch photo offers a breathtaking view, making it a perfect choice for your next wallpaper.

Vibrant Brain Tumor Eye Twitch Scene in HD
Transform your screen with this vivid brain tumor eye twitch artwork, a true masterpiece of digital design.

Mesmerizing Brain Tumor Eye Twitch View Nature
Discover an amazing brain tumor eye twitch background image, ideal for personalizing your devices with vibrant colors and intricate designs.

Mesmerizing Brain Tumor Eye Twitch Moment Digital Art
Explore this high-quality brain tumor eye twitch image, perfect for enhancing your desktop or mobile wallpaper.

Stunning Brain Tumor Eye Twitch Capture for Desktop
Immerse yourself in the stunning details of this beautiful brain tumor eye twitch wallpaper, designed for a captivating visual experience.

Gorgeous Brain Tumor Eye Twitch View Concept
Find inspiration with this unique brain tumor eye twitch illustration, crafted to provide a fresh look for your background.

Captivating Brain Tumor Eye Twitch Photo Nature
Find inspiration with this unique brain tumor eye twitch illustration, crafted to provide a fresh look for your background.
Download these brain tumor eye twitch wallpapers for free and use them on your desktop or mobile devices.
0 Response to "Brain Tumor Eye Twitch"
Post a Comment